Looking for a more polished, balanced smile? At Azure Dental, we plan ceramic veneer treatment around your face, bite, and goals so the result looks natural, not overdone. If you are researching porcelain veneers in Formby or Liverpool, this page explains when they are a good option, what the process involves, and when a more conservative alternative may be the better choice.

This is Azure Dental’s main local page for ceramic veneer treatment. It covers suitability, benefits, procedure, cost, lifespan, and maintenance, while pointing you to the wider full veneers guide for broader research. If you are comparing options before booking, start here.
For the right patient, veneers can refine colour, worn edges, uneven proportions, mild spacing, and overall smile harmony. In other cases, whitening, bonding, or orthodontics may achieve the result more conservatively, which is why treatment planning matters more than following a trend.
Dentists bond thin ceramic shells to the front surfaces of teeth to improve visible appearance. They can refine colour, shape, size, symmetry, and edge position, especially across the upper front teeth where cosmetic detail matters most. Because ceramic keeps its gloss well, it can offer a polished long-term finish with strong stain resistance.
Good treatment is not a quick cover-up. At Azure Dental, we assess your face, smile line, lip position, tooth proportions, and bite before we finalise any design. That approach helps us create results that look believable and feel proportionate.
They can suit patients who want a more refined smile redesign and whose teeth, gums, and bite are suitable for ceramic treatment. They are especially useful when several visible concerns need coordinating together rather than when one tiny issue affects a single tooth.
Not every cosmetic concern needs veneers. Whitening is often better where colour is the only issue. Composite bonding can be more conservative for small chips and modest shape changes. Orthodontics may be the smarter route when alignment is the real problem. Crowns may suit teeth that are already heavily restored or weakened.
Read more in our guide to other veneer alternatives.
Veneers can coordinate multiple visible front teeth for a more balanced and polished cosmetic result.
Porcelain usually holds colour and gloss more predictably than composite bonding over time.
When designed properly, ceramic veneers can look elegant and subtle rather than flat, bulky, or artificial.
The main strength of this treatment is control. Veneers can improve shade, shape, edge detail, and smile balance together, which is why they can create a more complete cosmetic result than single-issue treatments in the right case.
For a balanced decision-stage overview, read veneer advantages and drawbacks.
Patients often compare veneers with bonding because both can improve shape, small gaps, edges, and smile balance. Bonding is often more conservative and usually lower in starting cost. Ceramic veneers usually involve more planning and laboratory work, but they can offer better stain resistance, a more refined surface, and stronger long-term cosmetic stability in the right case.
Neither option is automatically better. The right choice depends on how much change is needed, how conservative treatment should be, how important stain resistance is, and how your bite behaves over time.
Read the full comparison here: bonding vs veneers comparison.
Treatment follows a step-by-step process, not a same-day shortcut. It usually begins with consultation and smile planning, followed by photos or scans, conservative preparation where needed, and a final fitting stage once the lab has made your ceramic restorations. In some cases, temporary or trial stages can help refine the design before the final fit.
Planning matters as much as the fitting. Strong cases rely on assessment, design, and careful decision-making rather than simply choosing a bright shade.
See the full process here: veneer treatment process.
We assess your teeth, gums, bite, facial proportions, and smile goals to decide whether this is genuinely the right route.
Photos and digital scans help plan a natural-looking result and decide how many teeth, if any, should be included in treatment.
If the case needs preparation, we keep it as conservative as possible. We may use temporary restorations where appropriate.
We fit your ceramic veneers carefully, then check the appearance, bite, comfort, and long-term maintainability.
Your final fee depends on how many teeth are being treated, the complexity of the case, the amount of smile design involved, and the quality of the ceramic and laboratory work behind the result. A realistic cost conversation needs more than a simple per-tooth headline.
Some patients need treatment across the visible smile zone. Others only need a smaller number of teeth included. The best plan is the one that creates balance without over-treating unaffected teeth.
Read more here: veneer costs in the UK and all veneers prices.
Finance available: flexible payment options can help spread the cost of your consultation and treatment plan.
Porcelain is usually more stain-resistant than enamel and composite bonding, which is one of its biggest advantages. Even so, the overall smile can still look darker if deposits build up, margins discolour, or surrounding natural teeth change shade.
Whitening products do not usually change the colour of ceramic once it has been made. That is why shade planning matters from the start.
Read more here: do veneers stain.
Usually not. In most cases, patients choose private treatment to improve appearance rather than to meet an essential NHS need.
See the full explanation here: NHS veneer availability.
Well-planned ceramic veneers can perform well for many years, but longevity depends on case selection, bite forces, habits, oral hygiene, and maintenance. They are durable, but they are not indestructible.
Read more here: veneer lifespan.
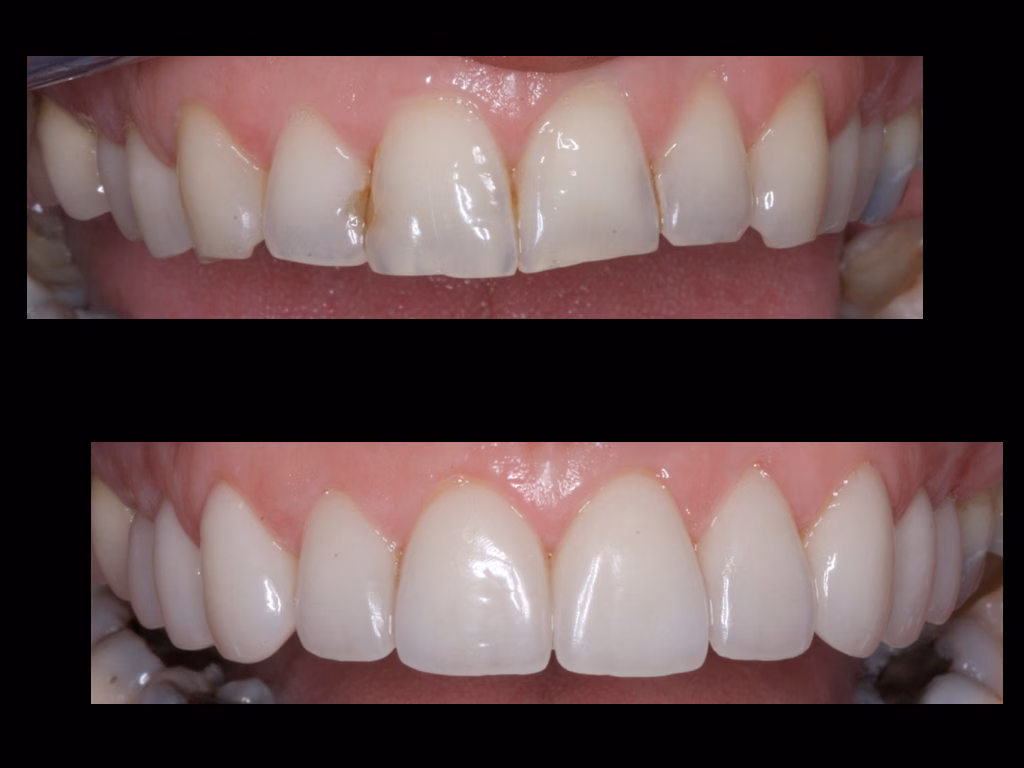
Below, you can see real patient results and smile design visuals connected to veneer treatment and cosmetic planning at Azure Dental.



We recommend treatment because it suits the case, not because it is fashionable.
The best result usually looks balanced, elegant, and believable rather than obviously done.
Smile design, assessment, preparation standards, and bite considerations all influence the final result.
Patients choose Azure Dental because they want cosmetic treatment delivered in a way that feels clear, careful, and comfortable.
Azure Dental is based in Formby and regularly sees patients from Liverpool, Crosby, Southport, Ormskirk, and nearby areas who want a more considered cosmetic outcome.
Not every patient needs veneers alone. Some smiles improve more predictably when treatment is coordinated with whitening, bonding, or digital smile planning.
These images reflect the standard of cosmetic care and patient experience associated with veneer and smile makeover treatment at Azure Dental.


The cost depends on the number of teeth being treated, case complexity, planning, and the quality of the ceramic and lab work. A consultation gives the most accurate answer for your own smile.
Most patients manage treatment very well. We handle any preparation stage carefully, and we can use local anaesthetic where needed to keep treatment comfortable.
The ceramic itself is stain-resistant, but the overall smile can still look darker if deposits build up, margins discolour, or surrounding teeth change shade.
No. Whitening products do not usually change the colour of ceramic once it has been made. Whitening affects natural teeth, not the veneer material.
Usually not for cosmetic reasons. In most cases, patients choose private treatment to improve appearance rather than to meet an essential NHS need.
Well-planned veneers can last many years, but longevity depends on planning, bite forces, habits, oral hygiene, and maintenance.
Not automatically. Veneers may offer better stain resistance and a more refined finish, while bonding is often more conservative and lower in starting cost. The right option depends on the case.
Not automatically. Problems usually arise when treatment is unnecessary, too aggressive, or poorly planned. Suitability and conservative preparation matter.
That depends on your smile width, the teeth visible when you smile, and how much change is needed. Some patients need only a few teeth treated, while others benefit from a broader smile-zone plan.
Book a consultation at Azure Dental for clear advice on whether veneers are right for your smile, what the process involves, what affects cost, and whether a more conservative option could achieve the result you want just as well.