Liverpools leading pain free and cosmetic dental practice

Dental Implants in Formby & Liverpool

Our premium dental implants treatment combines advanced digital planning, guided implant placement and high-quality restorations to deliver natural aesthetics, long-term stability and confidence in your smile.

how dental implants compare to other tooth replacement options

Book An Implant ConsultationCall 01704 871743
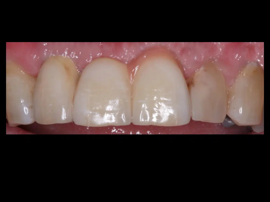
Implant restoration Formby Liverpool

Why Choose Implant Treatment?

Natural Look & Feel

Implant-supported restorations are crafted to mirror natural tooth shape, translucency and strength.

Eat With Comfort

Experience secure bite performance and the freedom to enjoy all foods without movement.

Long-Term Stability

With good care, implant restorations can last many years, offering a reliable long-term solution.

This type of implant treatment provides stability without compromising nearby healthy teeth.

dental implants compared with bridges or crowns

Our Implant Treatment Options

Single tooth replacement Formby

Single Tooth Replacement

A precise, natural-looking solution for one missing tooth using a custom implant crown.

Implant bridgework Liverpool

Multiple Teeth Replacement

Implant-supported bridges provide strength and modern aesthetics when several teeth are missing.

Full arch solution Liverpool

Full Arch Implant Solution

Achieve a complete fixed smile with our advanced All-on-4 treatment.

We also offer zygomatic implants for advanced cases and digital planning for increased accuracy.

How Our Implant Treatment Process Works

1. Consultation & Digital Scan

Your implant care begins with a detailed consultation, 3D CBCT scan, and digital assessment to analyse bone structure, gum health and long-term suitability.

2. Digital Implant Planning

We use advanced software to design your ideal implant position for accuracy, safety and predictable long-term results.

3. Guided Implant Placement

Your procedure uses a custom 3D-printed surgical guide to ensure minimally invasive, precise implant placement with maximum comfort.

4. Final Restoration

Your bespoke crown, bridge or full-arch restoration is crafted for ideal symmetry, bite function and natural appearance.

This structured implant process ensures precision at every stage for long-lasting results.

Finance Options for Implant Treatment

Spread the cost of your implant care with flexible monthly payments. Use our finance calculator to explore affordable repayment options.

Many patients choose finance to make long-term tooth replacement more accessible.

Instant Implant Cost Estimate

Get a personalised estimate for your implant treatment in under 60 seconds.

Implant Treatment Case Gallery

Smile transformation with implant care
Implant restoration example Liverpool

Implant Treatment FAQ

Are implants painful? +
Thanks to minimally invasive guided surgery and local anaesthetic, most patients report only mild temporary discomfort.
How long do they last? +
With good hygiene and routine dental care, implant-supported restorations can last many years.
Can I have implants if I have bone loss? +
Yes. Patients with reduced bone volume may benefit from grafting or zygomatic implant treatment.
Do you offer payment plans? +
Yes, flexible monthly payment options are available through Tabeo.

Start Your Implant Treatment Journey

Experience world-class implant care focused on comfort, precision and long-term results.

This page covers implant treatment options including single tooth replacement, multiple implant solutions, full-arch systems, digital planning and guided surgery for patients in Formby and Liverpool.