Liverpools leading pain free and cosmetic dental practice

RESTORE YOUR SMILE

All on 4 dental implants SAME DAY TEETH LIVERPOOL

‘ALL-ON-4’ DENTAL IMPLANTS a great solution

Do you have all your teeth missing, alot of teeth missing or about to lose your remaining teeth?

All-on-4 dental implants could be the best solution for you. Teeth can be lost over the years through decay, gum disease, and functional wear, causing tooth failure and the need for tooth replacement. When a full arch of teeth has been lost, the options for replacing them are much more limited; a dental bridge is no longer an option as there are no remaining natural teeth for support. Traditionally, the only available method left would be the use of a full complete denture.

Whilst dentures have improved in quality both in appearance and function and certainly represent an acceptable aesthetic option, many wearers do find them uncomfortable and socially awkward, affecting your quality of life.

But there is another option! – both for people about to lose their remaining teeth or those who already have a full denture they would like to replace to improve their quality of life. Wishing to be able to go out and eat and chew whatever they wish in public again with full confidence. No longer suffering with loose partial dentures or long-term false teeth.


The Modern Solution: All-On-4 Implants

In the past, you might have needed an implant for each missing tooth. But with advancements in dental implant technology, a full set of teeth can now be restored with just four implants on the top and four on the bottom.

This innovative approach, known as All-On-4 dental implants, offers an efficient and secure way to regain a complete smile.

These implants provide not only a functional replacement but also restore the confidence to eat and socialise without worry.

The process is designed for those who want to move beyond traditional dentures and experience a solution that feels more like natural teeth.

By choosing this state-of-the-art method, you take a step towards enhanced comfort and improved quality of life, making it easier to enjoy your favorite activities without the limitations of conventional dentures.


You can now go from having no teeth at all, to a full and functioning set of replacement teeth even in cases where significant bone loss has occurred. As well as restoring your functional ability to similar levels as when you had natural teeth, it also restores your smile. While also correcting the proportions of your face, adding extra height and volume for a more natural youthful appearance. This is because as you lose teeth and bone height is lost, the lower third of your face closes up, causing the tissues to sag and collapse inwards.

Using the dental implant treatment in a day procedure, sometimes referred to as ‘same day smile’ or ‘teeth in a day treatment,’ these issues can be resolved. This specialized dental implant procedure was originally developed by Nobel Biocare, and the official title for this type of implant surgery is All-on-4. The technique was developed to provide people who had experienced or were about to experience total tooth loss, with a way to replace the function and stability of natural teeth with only four dental implants to support a full jaw of fixed teeth.

Benefits of All-On-4 Dental Implants

  • Single Surgery: The entire treatment process typically involves only one surgery, allowing for a quick transformation from toothless to a full set of teeth.
  • Cost-Effective: Compared to most other tooth-replacement methods, All-on-4 is a more affordable solution, saving you both time and money.
  • Immediate Results: A full set of new teeth can be achieved in just one session, with temporary crowns often placed on the same day.
  • No Bone Grafting Required: This method eliminates the need for bone grafting, making it a less invasive option.
  • Stable and Secure: Dental implants are securely placed deep in the jawbone, preventing shifting or loosening over time.
  • Enhanced Oral Function: Restores all your oral functions, enabling you to eat, speak, and smile with confidence.
  • Boosts Self-Confidence: By restoring your smile and oral functions, All-on-4 can significantly improve your self-esteem and quality of life.

By integrating these innovative implants into your dental care plan, you can enjoy a rejuvenated smile and a return to the activities you love, all with enhanced stability and comfort.

Upper PMMA All-on-4 bridgework
Upper PMMA All-on-4 Bridgework

Full Fixed Teeth Replacement with Dental Implants / All-on-4™,
Teeth In A Day Formby

A ‘Full Arch Tooth Replacement’ which has gradually become synonymous with the name All-on-4 dental implants, the name is given to the replacement of a large number of missing teeth or all teeth in either the upper and lower jaws. Opting for dental implants if you have no natural teeth at all will ensure that your replacement teeth look and feel natural, will function like natural teeth when you are eating and talking without having to take them out at night.

As a result, these full arch dental implant procedures are fixed permanently in place so that the only one who knows you have dental implants is you. It is very important to replace missing teeth to not only preserve the functionality of your mouth, but also to allow you to chew food easily. If you are missing most or all of your teeth, there is a chance your cheeks may begin to sag inwards and make you appear older than you are.

Complete denture replacement – no need to remove a denture after meals or at night time. The full arch of teeth can be cared for and cleaned just like natural teeth. The full arch of teeth fits the natural contours of your mouth, improving facial structure and preventing sagging or hollow cheeks.

Replacement teeth that feel like a full set of natural teeth increasing self confidence and quality of life. With no compromise on taste as the full arch of upper teeth does not cover the roof of your mouth. Your ability to bite is greatly increased so you can enjoy the foods you previously could not. Choose from a wider choice of food with a more varied diet for healthier living. Promotes a healthy jawbone by preventing further bone loss.

Immediate Results and Recovery

The entire procedure, with the correct pre-planning and design work, can be completed in just one day with the same-day teeth immediate loading concept. This approach minimizes the number of procedures and recovery time, offering very little discomfort.

It is crucial to maintain stable oral health, even if you have lost teeth or had issues with gum disease. Initial dental care, including dental hygiene therapy, might be necessary to ensure your mouth is in the right condition for implant therapy. This preparation is vital for a successful outcome, requiring continued regular hygiene maintenance for long-term stability and success.

Advanced Techniques and Long-Term Care

Dental implants should be cared for diligently to ensure their success over many years. Without proper care, they can develop issues similar to natural teeth, such as bleeding, soreness, gum infections, and pain.

All-on-4™ dental implant techniques continue to advance at a rapid rate year on year with new techniques/ materials and digital planning and CT scan imaging now available, all helping to improve success rates and avoid more invasive bone augmentation (grafting) procedures. At Azure Dental we have invested in our own CT scanner in the practice, to enable us to digitally plan cases and provide the very best and latest treatment plan options to our patients.

Are dental implants a suitable option for everyone? The answer depends on several key factors. Good oral health is a fundamental requirement, as it lays the groundwork for successful implant integration. Beyond that, jawbone thickness and sinusal anatomy play crucial roles in determining candidacy. It’s essential to consult with a dental professional who can evaluate these aspects to see if implants are right for you.

Advanced dental implant treatments are also now available to place full jaw fixed teeth in people who have very limited bone availability. Even people who have previously been advised that they are not suitable for dental implants in the past can be helped and treated without the need for extensive bone grafting, improving the speed and costs of dental implant therapy.
This means that even if you were once told implants weren’t an option, advancements in dental technology might offer new possibilities. By addressing both general criteria and innovative solutions, you can make an informed decision with the guidance of your dental care provider.

Very few clinicians are able to provide the advanced surgery required to perform the latest developments in implantology known as pterygoid and zygomatic implants. We are lucky at Azure Dental, Formby to have the services of Dr Amit Mistry who is one of the few surgeons in the UK to be able to place these implants in patients who need this type of work undertaking.

Between four and six dental implants are needed to replace a set of twelve teeth per jaw. Commonly planned and performed as a single implant surgery, this has become known as the All-on-4™ dental implant technique developed by Nobel Biocare. This method is now synonymous with any dental implant procedure replacing a full set of teeth in a jaw.

While the All-on-4™ technique focuses on the procedure, the choice of implant system is crucial for ensuring long-term success and reliability. One of the most widely used implant systems is Sweden and Martina. Known for its extensive range of implant designs, this allows dental professionals to select the best fit for each individual case.

Here’s why this system stands out:

  • Variety and Customization: The diverse implant designs available enable tailored solutions for different dental needs.
  • Proven Reliability: Backed by rigorous research and development, the implants are recognized for their quality and dependability.
  • Market Dominance: Despite the availability of cheaper alternatives, the commitment to quality makes it a preferred choice among dental professionals.

By integrating innovative techniques like All-on-4™ with reliable systems such as Nobel Biocare, dental practitioners can offer patients effective and lasting solutions for full jaw restorations.

Teeth In A Day-

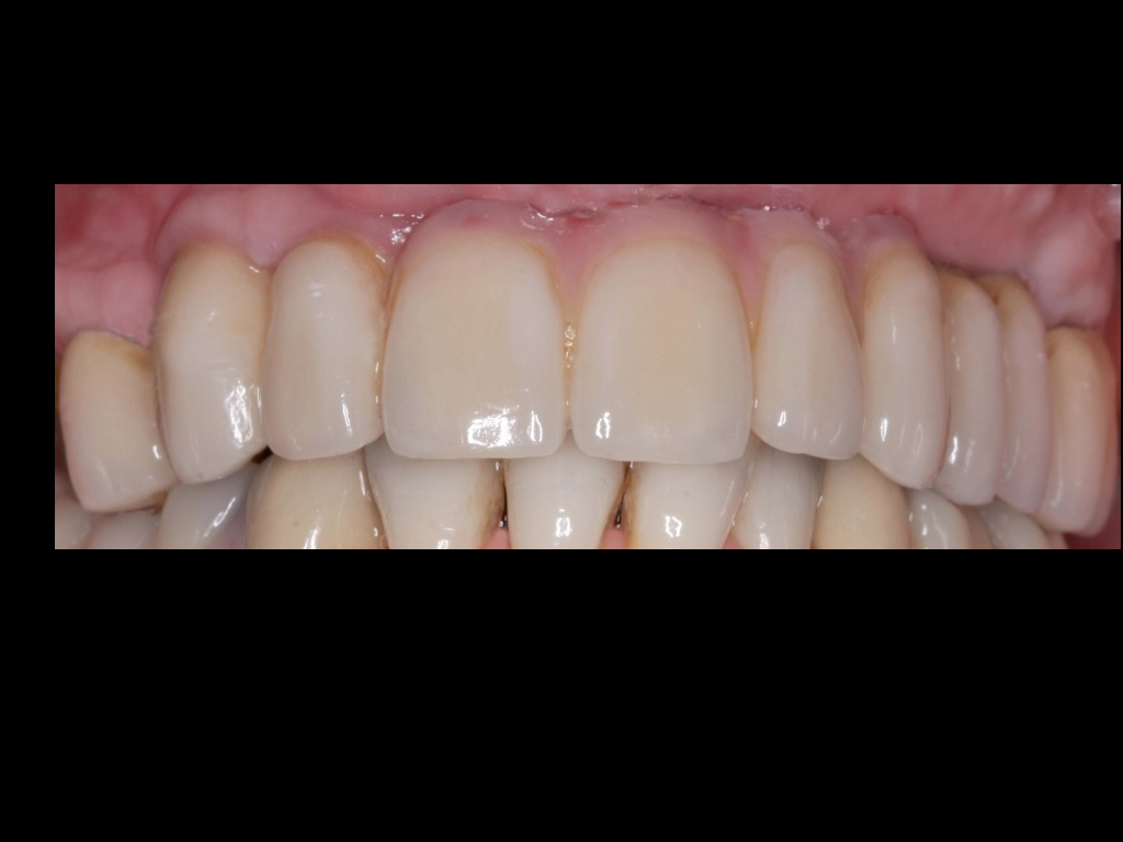
Upper Porcelain All-on-4 bridgework
Upper Porcelain All-on-4 bridgework

Here at Azure Dental in Formby, Liverpool we are pleased to offer an excellent alternative to dentures, in the form of same day teeth dental implants which can support a full fixed replacement arch of teeth.

 

 

 

Are you suitable for the All-on-4 technique and fixed permanent teeth?

 

Do you have loose dentures that the quality of your life?

Do you have severe periodontal gum disease and have suffered tooth loss?

You have previously suffered tooth loss in areas of your mouth meaning jawbone has been lost.

You are now at the stage where your remaining teeth/ crowns and bridges are failing along with loose teeth that need extracting.

Upper Porcelain All-on-4 bridgeworkAnother photograph of an Upper Porcelain All-on-4 bridgework for the best aesthetics. For the latest porcelain All-on-4 bridgework we now utlise CAD CAM techniques with individual Zirconia crowns for all round strength, aesthetics and long term restorability.

 

How Do Dental Implants Work?

Dental implants are innovative solutions for replacing missing teeth, providing both functionality and aesthetic appeal. Here’s how they work:

  1. Material and Integration: Implants are typically made of titanium, a metal renowned for its compatibility with human bone. This material’s unique property allows it to integrate seamlessly with the jawbone—a process known as osseointegration. Over time, the titanium implant becomes a solid part of your jaw, creating a stable base for artificial teeth.
  2. Foundation for New Teeth: Once fully integrated, the implant serves as a robust foundation. The implant’s stability ensures that the attached prosthetic tooth or teeth function like natural ones, supporting activities such as chewing and speaking.
  3. Preventing Bone Loss: One of the key benefits of dental implants is their ability to combat bone loss. When teeth are missing, the surrounding bone can deteriorate over time. Implants stimulate the jawbone, similar to natural teeth, maintaining its density and preventing the sunken appearance often associated with tooth loss.
  4. Enhancing Oral Health: By preserving the jawbone, dental implants help maintain the natural contours of your face, supporting a youthful appearance. Additionally, they promote overall oral health by preserving the remaining jaw structure, preventing further dental issues.
  5. Comprehensive Solutions: Whether you’re missing one tooth or require a full set, dental implants can be customized to meet your needs. Full-arch solutions are available for those needing more extensive restoration, ensuring a complete and natural-looking smile.

Overall, dental implants offer a functional and durable solution for those looking to enhance their oral health and restore their confidence with a naturally beautiful smile.

You can now go from having no teeth at all, to a full and functioning set of replacement teeth even in cases where significant bone loss has occurred. As well as restoring your functional ability to similar levels as when you had natural teeth, it also restores your smile. While also correcting the proportions of your face adding extra height and volume for a more natural youthful appearance. This is because as you lose teeth and bone height is lost the lower third of your face closes up causing the tissues to sag and collapse inwards.

Using the dental implant treatment in a day procedure sometimes referred to as ‘same day smile’ or ‘teeth in a day treatment’ these issues can be resolved. This specialised dental implant procedure was originally developed by Nobel Biocare and the official title for this type of implant surgery is All-on-4. The technique was developed to provide people who had experienced or were about to experience total tooth loss, with a way to replace the function and stability of natural teeth with only four dental implants to support a full jaw of fixed teeth. 

Prior to this development, the traditional technique for full arch fixed implant therapy involved from six up to ten implants combined with the long healing time required before a bridge could be fixed to the implants. The reasons behind the development of this technique was to avoid this traditional healing time with dental implants of between three and six months between placing the dental implants and then restoring them with the final replacement teeth.

Comparing All-On-4 and Traditional Implants

The traditional method of replacing an entire jaw of teeth often relied on a combination of single-tooth implants and dental bridges. This approach typically necessitated 8-10 implants per jaw to secure a full set of teeth. Each bridge would be supported by implants at either end, which, while effective, required a considerable investment of time and resources.

All-On-4 Efficiency: The All-On-4 technique revolutionises this process by requiring only four implants per jaw. This innovation not only reduces the number of implants needed but also significantly cuts down on the procedure time and associated costs. Patients find the All-On-4 method to be faster, easier, and more comfortable than traditional options, which can be pivotal for those seeking a quick and less invasive solution.

Cost-Effectiveness: By minimising the number of implants and the materials needed, All-On-4 offers a cost-effective alternative. This reduction in resources and time makes it an appealing choice for many, without compromising on the quality and stability of the final dental restoration.

The dental implant cost of All-on-4 treatment varies depending on how many implants are required, the complexity of your individual case, any bone grafting required, the type of final bridgework you choose ( you can have bridgework made of acrylic, composite and porcelain) along with whether you have choose to have an immediate same day temporary fixed bridge. We are one of the few dental practices to offer all the multiple options available rather than just a single treatment fee for the most expensive treatment. Therefore fees can range quite a bit depending on each person’s individual situation. As a guideline fees can start in the region of £15,995 for the All-on-4 procedure dependent on the above choices. Given the fees involved for this type of dental treatment, staged payment plans are available along with monthly finance options up to 5 years.

 

How Does Sedation Work During Dental Implant Procedures?

When preparing for a dental implant procedure, sedation can play a crucial role in ensuring comfort and tranquility. Here’s how it works:

Types of Sedation

  1. Oral Sedation: Typically, you’ll receive medication in pill form the night before your appointment. This helps ease any anxiety and ensures a restful night’s sleep.
  2. IV Sedation: Administered directly through a vein, usually in the hand or arm, this type of sedation is more potent. It is delivered by a specially trained team who monitors your well-being throughout the process.

What to Expect

  • Assistance Required: It’s important to have someone accompany you to and from the appointment, whether it’s a family member, friend, or neighbor, due to the lingering effects of sedation.
  • During the Procedure: Under sedation, you’ll experience a state of deep relaxation. Patients often feel warm and comfortable, and the experience is typically dreamlike. Recollection of the procedure is minimal, allowing for a stress-free treatment experience.

Individual Reactions

  • Each person’s response to sedation can vary. Some patients may feel chatty, others might drift into a peaceful sleep, while some will simply enjoy a relaxed state without much interaction.

In essence, sedation is employed to make dental implant procedures smoother, minimising stress and discomfort for a positive overall experience

Why Choose Azure Dental for your dental implant Liverpool treatment?

 

Dr Amit Mistry who undertakes the planning and implant surgery along with the immediate temporary bridgework performs this specialist procedure, and even more complex pterygoid and zygomatic dental implant therapy for teeth in a day, day in day out. He is one of the leading dental implant surgeons in the UK. Once the initial healing period is completed Dr Dan Hines then takes over the specialised reconstruction of the final bridgework to ensure the functional and cosmetic aspects are perfect. Overall ensuring a final good looking functional smile for the long term.

Given this level of expertise this is why Azure Dental is happy to provide a minimum 5 year guarantee on All-on-4 procedures subject to the required commitment to the dental care maintenance schedule associated with this treatment.

The All-on-4 procedure requires an initial consultation to be arranged and your gums inspected for any complicating issues such as uncontrolled active gum disease. This will need to be treated prior to the dental implants being placed. Initial diagnostic assessments will be undertaken, including x-rays and impressions of your jaw to enable exact copies to be created in model form. A 3D CBCT scan will also be taken (we are one of only a few dental clinics in Merseyside and the North West of England to have a scanner within the dental practice, avoiding the need to refer you and have you travel elsewhere for this diagnostic three-dimensional imaging). This 3D image rebuilds you in many hundreds of ‘slices’ to ensure there is enough bone to place the dental implants. We can then also see exactly where your important structures are, such as the sinuses and nerves, so any serious complications can be avoided.

The Procedure Steps

  1. Consultation and Planning: After the initial comprehensive assessments of your mouth, the dentist will review your suitability for the All-on-4 procedure based on jawbone density and overall oral health. Your dentist will discuss alternative treatment methods to ensure you are informed about all available options before proceeding. If you are deemed suitable for the procedure, the next step involves taking a dental impression or newer digital intra-oral scans.
  2. Dental Impressions and Lab Work: Upon confirmation, a detailed dental impression or digital scan is taken and sent to a specialised lab. This step is crucial for crafting the custom implants that will perfectly fit your mouth. By following these steps, we ensure that the All-on-4 procedure is tailored to meet your specific dental needs, setting the foundation fopr successful implant placement.
  3. Surgery Day: On the day of the surgery, a sedative will be administered to ensure your comfort. The dentist will carefully drill the necessary holes in your jawbone to place the implants. These implants serve as the foundation for your new teeth. Post-placement, the incisions are sealed with dissolvable stitches, which typically disappear within one to two weeks.
  4. Fitting the New Teeth: Usually, your new teeth can be fitted on the same day or the following day, providing you with a quick transformation.

This comprehensive approach ensures that each step is meticulously planned and executed, maximizing both the success of the procedure and your comfort throughout the process.

 

Dental Implant / Teeth In A Day suitability

Dental implants for all teeth are now suitable for most adult patients who are in good health. They are not suitable for growing children under the age of 18 as the facial bone structure is still growing, people smoking more than just a few cigarettes per day (smoking severely compromises the blood flow to the tissues and complicates bone healing and the bonding integration of the implant to the bone) and people suffering from severe uncontrolled gum disease with no hygiene care plan in place.

During the treatment procedure, two special implants are placed into the rear part of the jaw at a carefully calculated 45-degree angle designed to provide a particularly strong foundation for the new arch of teeth. This method not only requires less bone but also often eliminates the need for extensive bone grafting.

The Surgery

Before starting, a sedative is typically offered to help you relax during the procedure. The dentist will then drill the necessary holes in the jawbone to insert the implant. Once the implants are placed, the incisions are stitched up, usually with dissolvable stitches that disappear within a week or two.

Two (sometimes three or four) additional implants are then placed towards the front of the mouth to complete the anchoring system. Unlike individual dental implant placements, where the implant must bond with the bone for a few months before attaching a crown, the All-on-4 method often allows for a temporary fixed bridge to be attached immediately. This avoids the need for a loose temporary denture.

Once this has been done, you will be provided with comprehensive aftercare instructions and a hygiene maintenance regime. You are then free to leave the practice with a full set of newly screwed-in teeth!

Post-Surgery Care

Inevitably, some soreness is to be expected once the local anesthetic wears off. You may also need a little time to adjust to your new teeth. We suggest starting with soups and other soft foods for the first few days and gradually moving onto foods such as soft pasta and mashed potatoes. However, very soon you will find that you can comfortably eat your usual diet without any problems at all.

To find out more about All-on-4 teeth in a day Liverpool and how we use them to replace a complete set of missing teeth and are looking at the potential solution of dental implant treatment then please-

Get in touch to arrange a free online consultation or to simply find out more information, click on any one of the links to chat to us-

                    01704871743          lauren@azuredentalclinic.co.uk

 

<img src="all-on-4.jpg" alt="whatsapp image all-on-4 dental implant contact link">        <img src="all-on-4.jpg" alt="facebook image all-on-4 dental implant contact link">         <img src="fixed teeth.jpg" alt="messenger image fixed teeth dental implant contact link">        <img src="fixed teeth.jpg" alt="instagram image fixed teeth dental implant contact link">Your dentist will discuss alternative treatment methods to ensure you are informed about all available options before proceeding. If you are deemed suitable for the procedure, the next step involves taking a dental impression.Your dentist will discuss alternative treatment methods to ensure you are informed about all available options before proceeding. If you are deemed suitable for the procedure, the next step involves taking a dental impression.

To get in touch to arrange a free initial online consultation or to simply find out more information, click on any one of the links to chat to us.

If you have any concerns or issues with regards to missing teeth, loose teeth or dentures
and are looking at the potential solution of dental implant treatment then please get in touch.

What our happy customers say-

FAQS

Implants are a very predictable treatment option. They have good long term success rates but require regular care and maintenance to ensure they remain healthy for as long as possible.

Implants are generally placed under local anaesthetic. Once numb treatment is carried out with the very minimum of discomfort.

No, your dentist will show you how to clean any hard to reach areas around the implant. But you’ll mostly clean them as you would your normal teeth.

Dental implants are designed to provide a long-term solution to your gap(s). They require less frequent replacement than other solutions such as dentures or bridgework, making them an overall cost-effective solution to replace a missing tooth (teeth).

When considering options, All-on-4 dental implants stand out as particularly cost-effective. Unlike other tooth-replacement methods available today, the All-on-4 technique minimizes the need for individual implants for each missing tooth. This innovative approach not only reduces overall material costs but also decreases the time spent in surgery, leading to additional savings on procedures.

By consolidating the number of implants needed, All-on-4 offers an economical advantage over traditional approaches, which often involve multiple implants or more frequent replacements. If you’re weighing the financial aspects of dental restoration, the All-on-4 method provides a compelling blend of durability and affordability, making it a smart choice among modern tooth-replacement solutions.

The system is efficient because it uses only a few strategically placed implants to support a full arch of teeth, eliminating the need for individual implants for each tooth.

The All-On-4 dental implants offer a streamlined solution for complete tooth loss.

You need just four implants on the top and four on the bottom to restore all your teeth.

The new teeth are typically fitted on the same day of the surgery or the next day, providing a quick transition to a full set of teeth.
 

Want to get the guide?

Simply fill in the form below to get it emailed to you! By submitting this form you’re agreeing to receiving
marketing emails by Azure Dental. Please refer to our Privacy Policy for more information.

How can we help?
[gravityform id="17" title="false"]