Teeth Straightening Liverpool – Clear Aligners & Braces
We provide leading teeth straightening in Liverpool using Invisalign, clear aligners and cosmetic brace systems.
A straighter smile. More confidence. Zero pain.
Free 3D scan • 0% finance • Adult braces, clear aligners & discreet orthodontics.
Expert Teeth Straightening in Liverpool
Looking for teeth straightening in Liverpool? At Azure Dental we provide a full range of modern orthodontic treatments including Invisalign®, clear aligners, cosmetic white braces and lingual braces. Our digital approach makes teeth straightening faster, more predictable and completely pain-free for adults and teens across Liverpool and the surrounding areas.
Clear Aligners & Clear Braces Liverpool
Many patients choose clear aligners because they are removable, nearly invisible and fit around busy lifestyles. We offer both Invisalign Liverpool and our own Azure Aligners for predictable alignment using digital planning. For cases needing more controlled movement, our clear ceramic ICE braces provide excellent precision while remaining discreet, making them one of the most popular choices for discreet orthodontic treatment.
Why Choose Azure Dental for Orthodontics in Liverpool?
Our approach to orthodontics combines pain-free techniques with digital 3D scanning and simulation technology. Many patients combine straightening with composite bonding or teeth whitening for a full smile makeover. Our personalised approach ensures every teeth straightening patient in Liverpool gets a predictable, comfortable result.
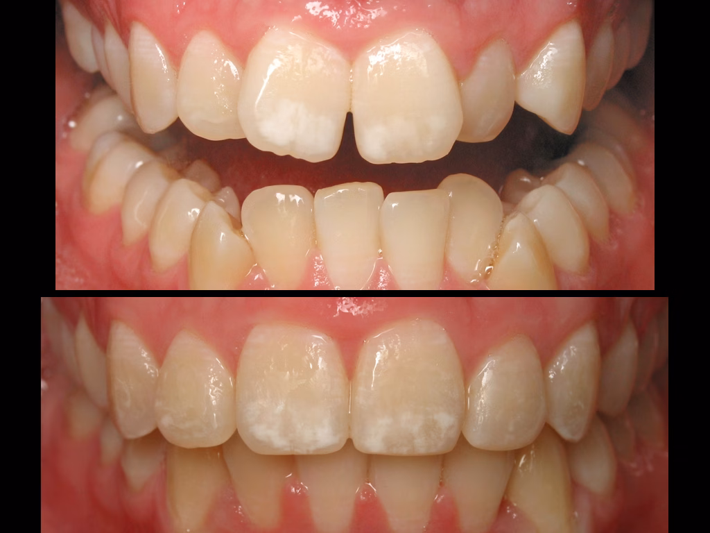
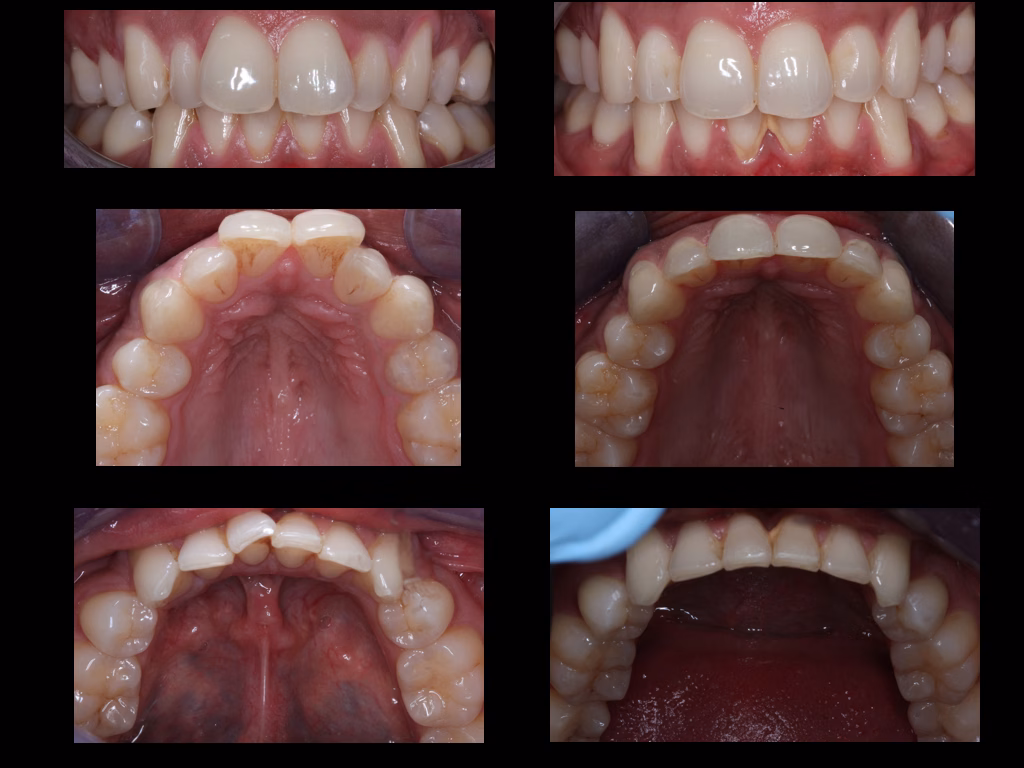
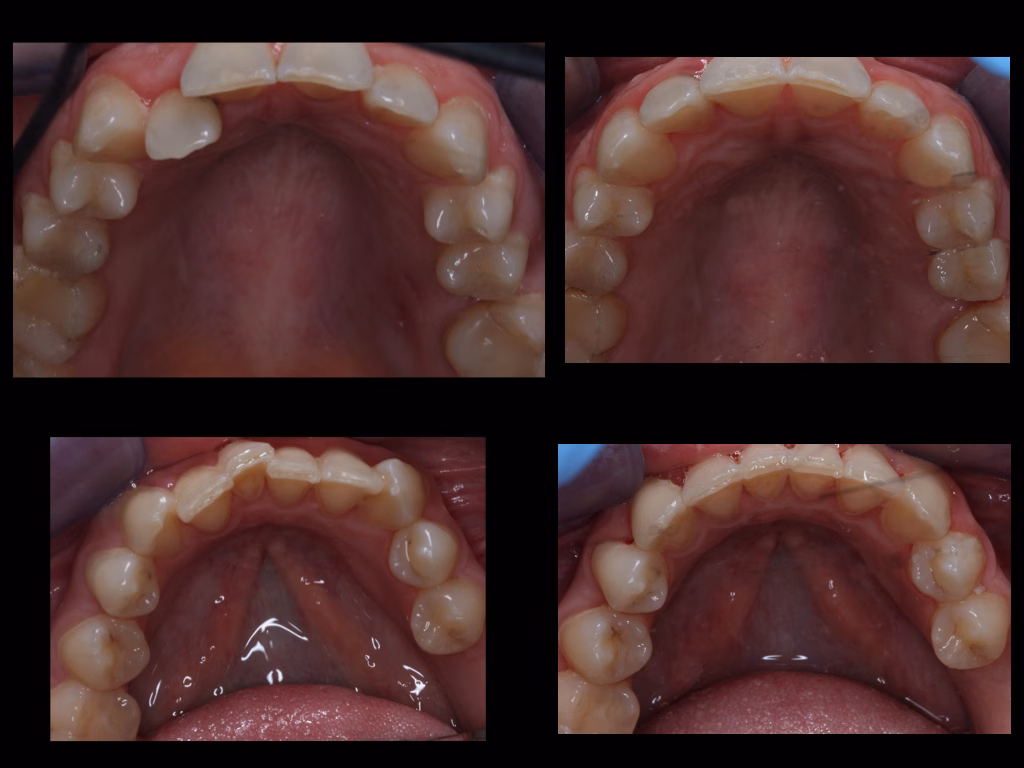
Liverpool Teeth Straightening Results
Below are real transformations using Invisalign® and cosmetic brace systems.


Teeth Straightening Cost
Affordable monthly payments with predictable fixed-price plans.
| Treatment | From | Monthly Payment (from) |
|---|---|---|
| Invisalign® (Dual Arch) | £3,995 | £89/month |
| Azure Aligners (Single Arch) | £1,750 | £39/month |
| White / Ceramic ICE Braces (Single Arch) | £2,350 | £52/month |
| Teenage Braces (Dual Arch) | £3,600 | £80/month |
*Representative example: monthly payments calculated over 60 months at 11.9% APR.
Teeth Straightening Options in Liverpool
Clear Aligners (Invisalign®)
Discrete, removable and digitally planned for highly predictable tooth movement.
View Invisalign →White / Clear Braces
Ceramic cosmetic brackets designed for precise movement with a natural appearance.
Clear Braces →Lingual / Hidden Braces
Placed behind the teeth for complete invisibility during treatment.
Hidden Braces →Why Choose Azure Dental?
- Pain-free dentistry
- Digital 3D scanning (no impressions)
- Fast treatment planning
- Opposite Waitrose in Formby
- Hundreds of 5-star Google reviews
- Experts in Invisalign® and cosmetic braces
Before & After – Teeth Straightening Results Liverpool



Start Your Teeth Straightening Journey Today
Free virtual consultation. Pain-free orthodontics. Transform your smile.
Book Your Brace Consultation