Composite veneers in Formby and Liverpool that are pain-free with natural, long-lasting results.
Digital smile design planning, 0% finance & 5-star patient care.
At Azure Dental Clinic in Formby, we provide cosmetic resin veneer treatments for patients from Liverpool, Southport and across Merseyside who want a fast, natural-looking smile improvement without aggressive drilling. Using microscope-enhanced dentistry and digital smile design concepts, we plan each new smile around your face, lips and personality.
These veneer-style treatments use tooth-coloured composite resin, carefully layered on the front surface of teeth to improve shape, colour and symmetry. They are often completed in a single visit and usually require very little natural tooth removal.
Resin Veneers
We will help you choose between resin veneers and porcelain veneers depending on your goals, lifestyle and budget.
These resin veneers typically last around 5–7 years with good home care and regular dental check-ups. Habits such as coffee, red wine, smoking or clenching can shorten their lifespan.
A protective night guard may be recommended if you grind your teeth.
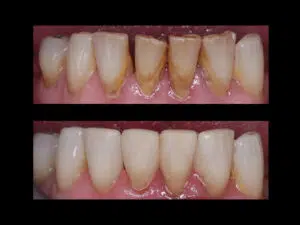
Book Your AssessmentHere are some examples of veneers-style composite treatments carried out at Azure Dental Clinic.




See more results in our Smile Gallery.
We always provide a clear written treatment plan before starting.
Many patients choose to spread the cost of their cosmetic veneer treatment using our finance partner.
Open Finance CalculatorA lot of smiles are completed after teeth whitening, so the resin can be matched to a brighter shade.
Azure Dental Clinic is located on School Lane in Formby, opposite Waitrose, with free parking and easy access from Liverpool, Crosby, Southport, Ormskirk and the wider Merseyside area.
Formby, Merseyside — serving Liverpool & surrounding areas
Call us on 01704 871743
Most adults with healthy gums and teeth are suitable for this type of cosmetic veneer treatment. At your assessment we will check your gum health, bite, tooth wear and what you want to change about your smile.
No. Composite-based veneers are long-lasting but not permanent and usually need refreshing or replacing after several years.
In many cases only minimal reshaping is required. We always aim to preserve as much natural tooth as possible.
Yes, resin veneers can usually be adjusted or removed if necessary, making them more reversible than traditional porcelain options.
We often recommend teeth whitening beforehand, as the composite is matched to your chosen tooth shade.
If you are considering composite veneers in Formby or Liverpool, our team can show you a smile preview and talk you through every option.
Prefer to talk? Call 01704 871743.