Thinking about Invisalign Liverpool treatment? This guide explains the process, pricing and what to expect at Azure Dental in Formby.
If you’re comparing orthodontic options, our detailed guide on Invisalign vs braces explains how clear aligners stack up against traditional fixed braces and other popular alternatives.
Invisalign Liverpool – Clear, Comfortable & Digitally Planned
If you're looking for Invisalign Liverpool treatment, our Formby clinic provides 3D scanning, clear aligners and predictable digital planning. You can also explore teeth straightening and clear braces.

| Invisalign Package | Cases | Price | 0% Monthly | 9.9% Example |
|---|---|---|---|---|
| Express | Minor tweaks | £1,500–£2,200 | £125 ×12 | £69 ×24 |
| Lite | Mild crowding | £2,200–£3,200 | £183 ×12 | £101 ×24 |
| Moderate | Moderate cases | £3,200–£3,900 | £267 ×12 | £147 ×24 |
| Comprehensive | Complex | £3,900–£4,800 | £325 ×12 | £179 ×24 |
For a transparent breakdown of pricing tiers and what affects cost, see our dedicated page on Invisalign cost in the UK for typical ranges and factors that influence final treatment cost.
Why Patients Choose Invisalign Liverpool at Azure Dental
Patients choosing Invisalign Liverpool benefit from digital scanning, fewer visits and a gentle, modern approach.
Many patients also ask about the treatment process and timeline — our how Invisalign works guide explains each step from scanning to retention.
Not Sure Which Treatment You Need?
Use our Smile Estimator to compare Invisalign Liverpool with other options in under 60 seconds.
Try the Smile EstimatorIf you’re thinking about alternatives like clear braces or at-home aligners, our comparison of Invisalign vs clear braces gives you a clear side-by-side breakdown.

Your Invisalign Liverpool Journey at Azure Dental
Every Invisalign treatment plan is digitally mapped for accuracy and predictable results.
Treatment duration varies case to case — learn more about how long Invisalign takes and realistic timelines based on complexity.
3D Scan & Simulation
High-resolution 3D scan with instant smile preview.
Custom Aligners
Digitally designed aligners for precise tooth movement.
Check-ins
Brief reviews and progress tracking.
Whitening & Retainers
Whitening and retainers included.
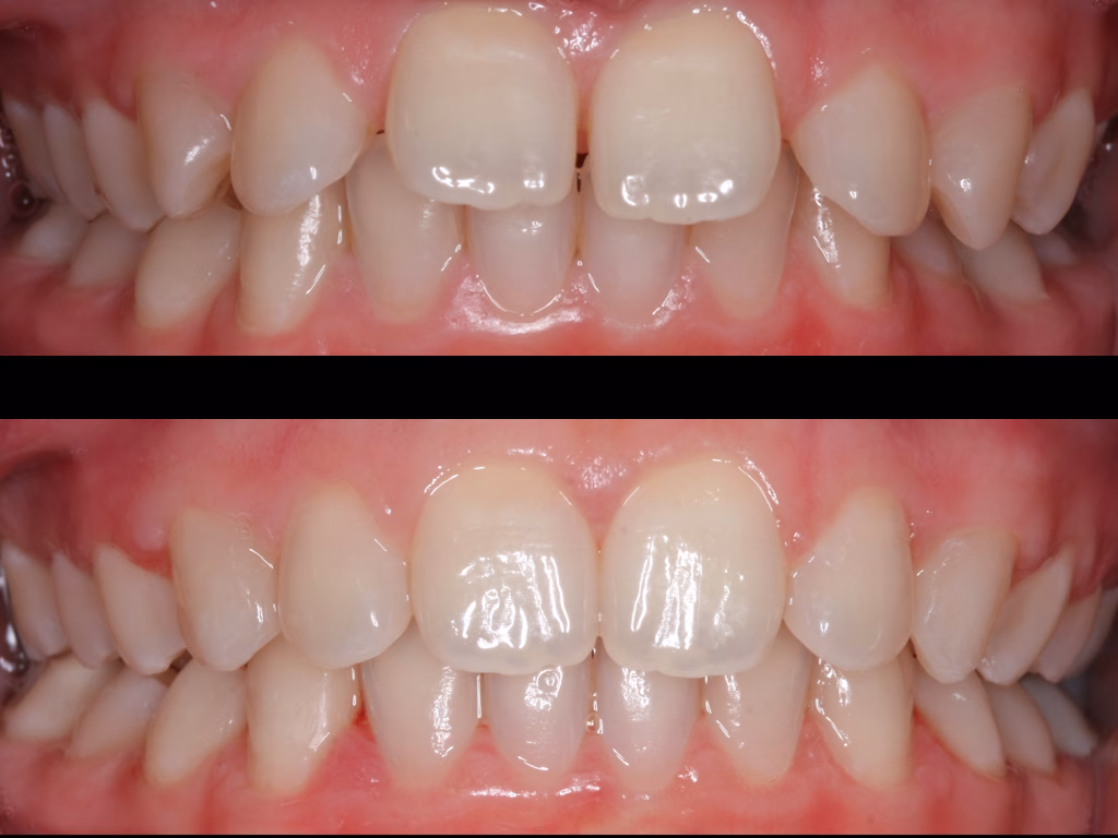
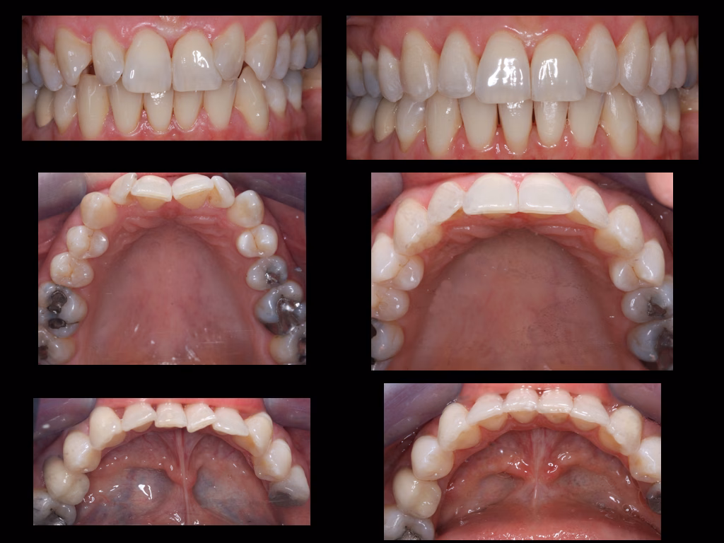
Before & After Invisalign Liverpool Results
View more transformations in our smile gallery.



To set realistic expectations before treatment, our Invisalign before and after page shows a variety of cases and outcomes you can expect.
Find Us in Formby
Opposite Waitrose on School Lane — ideal for Invisalign Liverpool patients travelling from Southport, Crosby, Ormskirk & Ainsdale.
We welcome Invisalign Liverpool patients from across Merseyside.
332 Google reviews
Read our 332 Google reviews
How to Get Here
🚗 By Car: Free parking nearby.
🚆 By Train: 5–7 minutes from Formby Station.
🚌 By Bus: Routes from Liverpool & Southport.
Open in Google MapsSome patients worry about comfort — read our clinical take in is Invisalign painful on what to expect during your aligner journey.
Your Invisalign Team
Experienced clinicians — 18 years using Invisalign, GDC-registered. Digital workflows and a gentle, patient-first approach.
- ✔ High-resolution 3D scanning
- ✔ Digital case planning
- ✔ Whitening + retainers included
- ✔ Flexible finance options
Ready to Start Invisalign Liverpool?
Includes 3D scan and personalised plan.
For patients who are comparing Invisalign with options like mail-order aligners, our Invisalign vs mail-order aligners guide explains safety and results differences.
£50 consultation reservation fee redeemable against treatment.

Invisalign Liverpool – Frequently Asked Questions
How much does Invisalign cost?
See our dedicated page on cost of Invisalign in the UK for typical price ranges and financing options.
How long does Invisalign take?
Treatment time varies by case — learn more on our Invisalign timeline guide with realistic timelines.
Does Invisalign hurt?
Mild pressure is normal — we explain expectations in depth in our Invisalign comfort guide.
What’s the treatment process?
From scans to retainer care, see our how Invisalign works guide.
How do alternatives compare?
Read how Invisalign compares to braces and compare Invisalign with clear braces to compare options.
Are mail-order aligners as effective?
Our comparison of Invisalign and mail-order aligners explains key safety and outcome differences.
Ready to Start Invisalign Liverpool?
Speak to our team, message us on WhatsApp, or book your £50 consultation online.