Gingival Gum Veneers in Liverpool
Rediscover your smile with advanced gingival gum veneers at Azure Dental. Because precision and comfort matter, we craft each veneer with digital accuracy for natural results and lasting confidence.
What Are Gingival Veneers and How Do They Help?
Gingival veneers, also known as gum veneers, gently restore the natural gumline. Because they cover receded or uneven areas, they instantly improve both appearance and comfort. Each veneer is digitally designed for precision and coloured to match your gums. As a result, your smile looks balanced and feels completely natural.
For even more confidence, explore related treatments such as porcelain veneers or smile makeovers.
Our Gingival Gum Veneer Process
To ensure smooth progress from start to finish, we keep every step simple and reassuring.
- Consultation: We begin with a digital scan and gum-health review.
- Design: Next, we map your ideal gum shape using precise software.
- Fabrication: Our technicians craft your veneers for a seamless, natural fit.
- Fitting: You’ll enjoy a calm, comfortable appointment with instant results.
- Aftercare: Finally, our team provides guidance so you can maintain long-term comfort and colour.
Additionally, our dental hygiene service helps keep your gums and veneers healthy.
Why Choose Azure Dental for Gingival Veneers?
Because we combine experience with innovation, you receive results that look stunning and feel effortless. Each treatment is tailored for precision and comfort. Furthermore, our calm environment ensures your visit is smooth from start to finish. Many patients choose our Liverpool clinic for its gentle approach and attention to every detail.
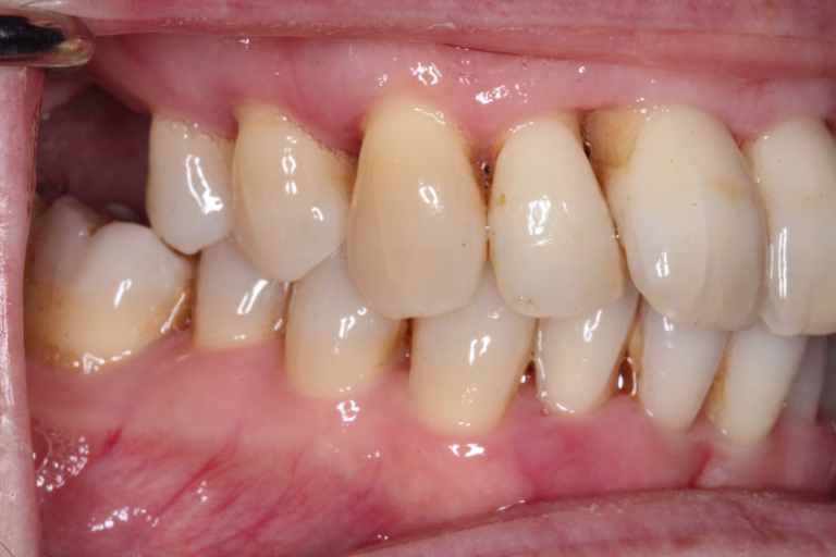
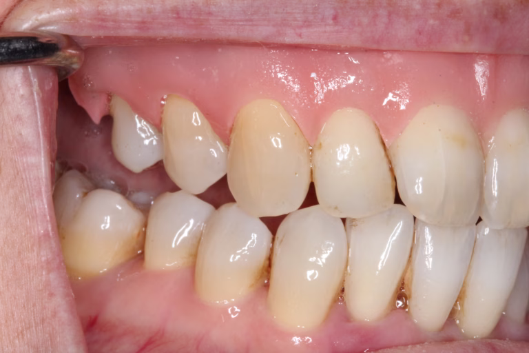
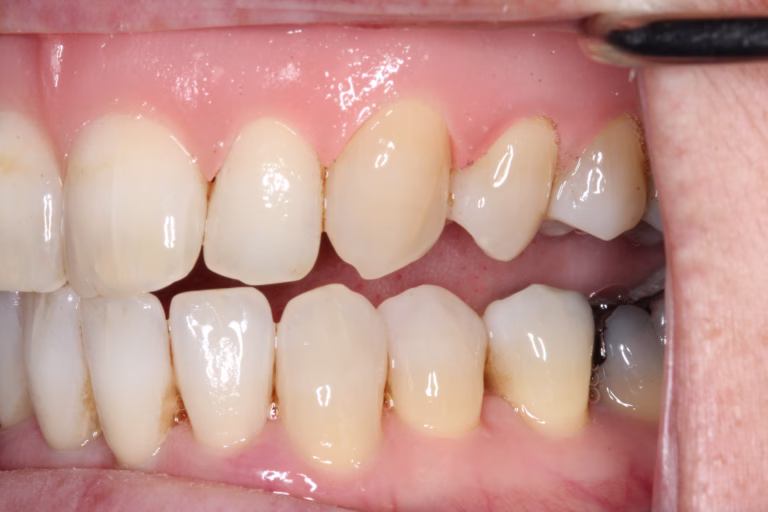
Before and After Gum Veneer Transformations
Below are examples of gingival gum veneers that restored smile balance and comfort for our patients. Consequently, these transformations highlight the precision and artistry behind every case.







Frequently Asked Questions
What are gingival veneers made from?
They’re crafted from premium, flexible materials that look and feel like healthy gum tissue.
Are gingival veneers permanent?
No, but they’re durable and can last for years with proper care.
Is treatment painful?
No. Because we use advanced digital scanning, treatment feels smooth and comfortable.
Can I eat and speak normally?
Yes. You’ll adapt quickly and enjoy normal function while maintaining a confident smile.
How long do gingival veneers last?
With excellent hygiene and gentle cleaning, veneers remain in great shape for years.
Ready to Restore Your Smile Confidence?
No waiting list — just calm, precise dentistry tailored around you.
Book OnlineWhatsApp Us