Liverpools leading pain free and cosmetic dental practice

RESTORE YOUR SMILE

Woolton Dentist Services

Looking for a reliable Woolton Dentist? Azure Dental clinic offers a range of general and advanced dental treatments to help you with all our dental needs.

What To Look For In A Woolton Dentist

Ironically, the last thing you should consider is arguably the location. We don’t expect you to visit your dentist every day, so it doesn’t need to be as close as the nearest shop. If you value your teeth and want an expert that truly takes care of you, it’s worth considering the wider surroundings.

What you should ideally consider is the range of services on offer, as well as the size of the clinic itself. An independent practitioner in the center of town may be more convenient, but is often booked with other appointments and, as a single expert, can’t provide the full range of services and treatments that a typical individual will need throughout their life.

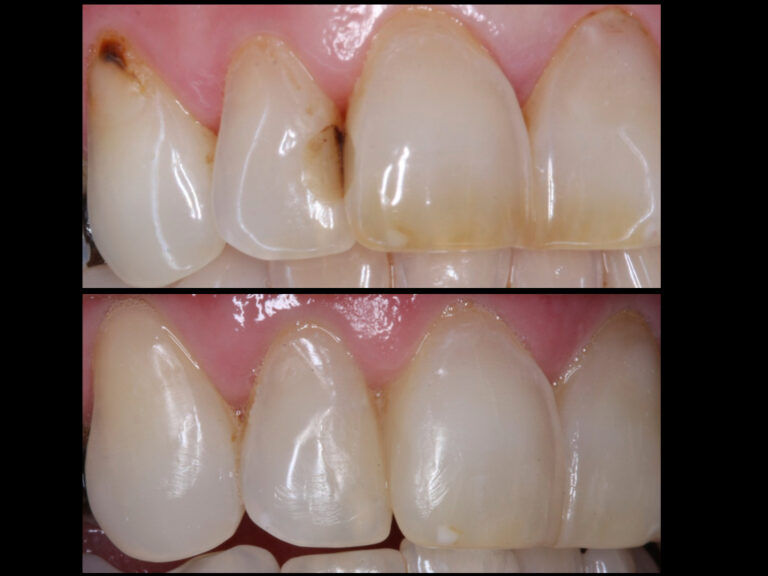
Replacement white fillings at the Woolton Dentist
Replacement Composite Filings

Our Woolton Dentist Treatments

Of course, we offer a range of teeth straightening treatments. These are some of our most popular services, suitable for both young adults and those older in life. Because of the varying needs of our clients, we’ve developed a range of options here, starting with typical ICE braces where necessary, but also Inman aligners to push the front teeth into shape. This is further supported by Invisalign solutions, which use removable, clear plastic braces and are suitable for minor corrections.

In addition to this, we also provide dental implants and veneers, which are used to fix problems with missing teeth and chipped or damaged teeth, respectively.

However, what sets us apart from other Woolton dentist options is our further range of “smile makeover” services. This includes teeth whitening, but also skin cream treatments, and even dermal fillers to remove any dimples caused by missing gums.

Natural Denture manufacture at the Woolton Dentist

About Azure Dental

Thanks to providing all of the above services, Azure Dental is able to provide one answer to all of your needs. Our team of 10 include hygienists, general practitioners, and advanced specialists, so you don’t need to jump to another Woolton Dentist when you need something new.

Book Your Woolton Dentist Appointment

The best way to start is always with a consultation. You can call us on 01704871743 to get started, or simply ask us any additional questions you might have.

Our offices are based near Formby and it is very easy to get to from Woolton. We’re also open 6 days a week – Monday to Saturday – for your convenience.

To get in touch to arrange a free initial online consultation or to simply find out more information, click on any one of the links to chat to us.

If you have any concerns or issues with regards to missing teeth, loose teeth or dentures
and are looking at the potential solution of dental implant treatment then please get in touch.

What our happy customers say

FAQS

Implants are a very predictable treatment option. They have good long term success rates but require regular care and maintenance to ensure they remain healthy for as long as possible.

Implants are generally placed under local anaesthetic. Once numb treatment is carried out with the very minimum of discomfort.

No, your dentist will show you how to clean any hard to reach areas around the implant. But you’ll mostly clean them as you would your normal teeth.

Dental implants are designed to provide a long term solution to your gap(s). They require less frequent replacement than other solutions such as dentures or bridgework, making them an overall cost-effective solution to replace a missing tooth (teeth).

Want to get the guide?

Simply fill in the form below to get it emailed to you! By submitting this form you’re agreeing to receiving
marketing emails by Azure Dental. Please refer to our Privacy Policy for more information.

How can we help?
[gravityform id="17" title="false"]